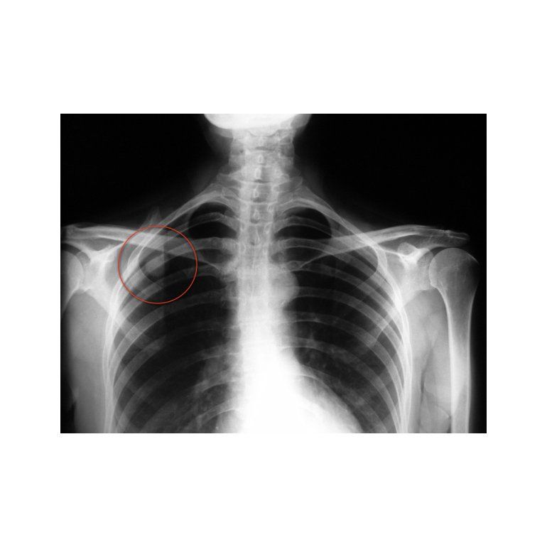
Pero, ¿qué es un nódulo pulmonar?

"Es una lesión que aparece en el pulmón, que tiene un diámetro, una forma y un tamaño determinado", precisó a DIARIO POPULAR el Dr. Daniel Pascansky, médico neumonólogo, miembro del Servicio de Neumonología del Hospital General de Agudos "José María  Ramos Mejía".

De acuerdo con lo que explicó el especialista, dependiendo de las características anatómicas, pueden ser benignos o malignos. "Si hay alta sospecha clínica, se puede biopsiar o se operan directamente. Los benignos generalmente no se operan", puntualizó el profesional, miembro de la Asociación Argentina de Medicina Respiratoria (AAMR).

Si bien son asintomáticos, pueden aparecer en un screening o en una radiografía de tórax. Y si el médico tiene alguna sospecha, se puede confirmar con otros estudios, como por ejemplo una tomografía computada. De todas maneras, se hace un seguimiento más focalizado para ver cómo se va comportando con el fin de observar si sufre modificaciones de tamaño, de forma o de característica.

LEA MÁS:

      Embed
La ministra Carolina Stanley, operada de un nódulo pulmonar

La funcionaria fue internada en el Hospital Británico para ser sometida a una "cirugía programada de un nódulo pulmonar". La funcionaria habría sufrido un problema de salud en 2014.


Por lo general, los nódulos pueden estar asociados a una consecuencia del tabaquismo. Pero también pueden ser extrapulmonares, por enfermedades inflamatorias, infecciosas o lesiones metastásicas de tumores que están en otro lugar.

"Hay una gran parte de los nódulos que aparecen en un estudio de evaluación por otras circunstancias", relató Pascansky, quien puntualizó que puede tenerlo cualquier persona, aunque en el caso de fumadores o ex fumadores se les hace un seguimiento aún mayor.

Actualmente existen dos técnicas para extraer el nódulo: la intervención convencional o la cirugía torácica dirigida por video. Ésta última es similar a la laparoscópica del abdomen, pero realizada en el tórax, y es menos cruenta que la cirugía tradicional, que trae aparejada, entre otras cosas, una cicatriz más amplia. En cualquier caso, se trata de operaciones programadas.

"Los post operatorios pueden llevar entre 4 y 7 días, en algunos casos pueden ser más o menos. Dentro del primer mes no se pueden hacer esfuerzos ni tampoco es aconsejable viajar en avión", puntualizó el neumonólogo, un dato no menor si se tiene en cuenta la agenda de actividades que puede tener la funcionaria en el país.


      Embed


Contacto

Registro ISSN - Propiedad Intelectual: Nº: RL-2025-11499155-APN-DNDA#MJ - Domicilio Legal: Intendente Beguiristain 146 - Sarandí (1872) - Buenos Aires - Argentina Teléfono/Fax: (+5411) 4204-3161/9513 - [email protected]

Edición Nro. 15739

 

Dirección

Propietario: Man Press S.A. - Director: Francisco Nicolás Fascetto © 2017 Copyright Diario Popular - Todos los derechos reservados